Design by{" "} Seo To Webdesign

X-Ray at Home

X-Ray at Home – Diagnostic Imaging with Comfort and Convenience

In today’s fast-paced world, healthcare must adapt to the needs of patients—especially those who are elderly, bedridden, disabled, or too ill to visit a diagnostic center. YNB Healthcare offers professional X-ray at home services, combining advanced technology with compassionate care, allowing patients to get essential imaging diagnostics from the comfort of their own homes.

What is an X-ray?

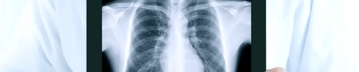
An X-ray (radiograph) is a quick and painless imaging test that uses low levels of electromagnetic radiation to create pictures of the inside of your body—primarily bones, lungs, and soft tissues. It helps doctors diagnose, monitor, and treat a wide range of conditions such as fractures, chest infections, arthritis, and more.

Why Choose X-Ray at Home?

Card image cap
Elderly patients

Card image cap
Post-surgery patients

.

Card image cap
Paralysis cases

Card image cap
ICU/homecare setups

Card image cap
Covid-positive

Card image cap
Busy individuals

Common Conditions Diagnosed with Home X-ray

Medical Equipments
Bone fractures and joint dislocations

Medical Equipments
Lung infections (pneumonia, tuberculosis)

Medical Equipments
Osteoarthritis and bone degeneration

Medical Equipments
Spine and cervical issues

Medical Equipments
Abnormal chest or abdominal conditions

Medical Equipments
Postoperative hardware placement checks

Steps Involved in X-Ray at Home

Pain Management Therapy
1.Booking the Appointment

Contact YNB Healthcare through our helpline or website and schedule a convenient time..

 Post-Surgical Rehabilitation
2. Technician Visit

A certified radiology technician visits your home with a portable X-ray machine.

Sports Injuries
3.Patient Preparation

The technician guides you on positioning and ensures safety measures (lead apron, minimal exposure)..

Sports Injury Rehabilitation
4. Image Capture

Digital images are captured in real-time and securely stored.

Elderly Care
5. Report Delivery

Images are reviewed by a radiologist, and detailed reports are shared digitally or in print within 24–48 hours.

Benefits of X-Ray at Home

Medical Equipments
Convenience
Medical Equipments
Comfort
Medical Equipments
Faster Diagnosis
Medical Equipments
Safety
Medical Equipments
Time-Saving
Medical Equipments
Digital Access

Precautions to Follow During a Home X-Ray

Pain Management Therapy
Remove metal objects (jewelry, watches, belts) near the imaging site
 Post-Surgical Rehabilitation
Inform the technician if the patient is pregnant or could be.
Sports Injuries
Ensure the room is well-lit and has space for the portable equipment.
Sports Injury Rehabilitation
Keep other household members, especially children, away during imaging.
Sports Injury Rehabilitation
Follow technician instructions for posture.
Sports Injury Rehabilitation
Breathing during the scan.

How YNB Healthcare is Helping

Medical Equipments
Qualified Technicians

All X-rays are performed by certified and experienced radiology technicians, ensuring professionalism and patient safety.

Medical Equipments
Portable Digital Equipment

We use advanced portable X-ray machines that deliver high-quality imaging with minimal radiation exposure.

Medical Equipments
Fast Turnaround Time

Reports are prepared by expert radiologists and shared quickly to aid in prompt diagnosis and treatment..

X-Ray at Home